Poland is a very specific country, what is highlighted on every step by illogical political decisions by Polish Government. Too often we’re victims of political biases. We tilt to judge many things more by moral sense and so called “logic” than science. We’re taking too many things for granted. All of this leads to education problems. Exemplification of that attitude is data in which we can read the following: Poland is a country with lowest awareness about HIV infection among European countries. In addition, 50 -70% seropositive people do not know about infection (Ankiersztejn-Bartczak M., 2012)1. Outcome of that is higher probability of spread HIV infections among people. In public space we have a lot of myths about HIV and sexual activities. Additionally, the attempt to ignore HIV and persuade that it is only problem of specific social groups resulted in a pandemic that killed 35 million people2.

Figure A – Probably, you cannot see it, but this is a nervous tissue and it is not completely healthy. In the picture we can find a microglial which is changed after contact with HIV. This transformed microglial we call multinucleated cells. That kind of pictures is typical for encephalopathy caused by HIV. Microglia comes from mesoderm and its function is analogous to leukocytes. This is a very special population of cells in CNS because only microglia do not come from neuroepithelium. License: CC0
Transmission
In heterosexual contacts, probability of being infected is greater among women. This is a result of larger surface of vaginal mucous membrane which can be in touch with infected ejaculate (Olczak A., Grąbczewska E., 2012)3. The same dependence occurs in receptive anal sex, where mucous membrane is very well-developed. Additionally, semen component like spermine and collagenase damages the mucous membrane of rectum which facilitates the penetration of HIV. This is why both woman and man who chose an unprotected anal sex have greater risk of HIV infection compared to another sexual activities (Alemagno A. S., et al., 1998)4. Lowest risk of transmission HIV infection is when we decide on oral sex. It results from specific histology of human throat where epithelium is much thicker what determines a better mechanical barrier for the virus. Throat have less lymphocytes CD4+ then rectum. Additionally, throat epithelium secretes a lot of different substance which can restrain HIV activity (Patel P., et al., 2014)5.
Figure B – In 2017 we detected 1526 of new case of HIV infection. License: CC BY-SA 3.0
Old fashioned prophylaxis
First answer to the question “How can I avoid HIV infection?” that we think of, is “don’t have sex”. It’s a good time to ask ourselves one more question – why grown-up people have to back out of sexual activities to avoid infection? Fear of HIV should only prompt to looking for more safety and effective ways of securing ourselves during sexual intercourses.
Strategy of prophylaxis:
- Sexual education
- Fidelity and abstinence
- Use condoms
- Use lubricants and microbicides
- Keep off risky sexual behaviors
Statistics of HIV infections show us that the common methods of prophylaxis are not effective enough, because in many European region (including Poland) we can observe a lot of new HIV infections. Once again, education is a key to prevent spreading new HIV and STD infections but we must educate in well studied way e.g. it’s important to include a psychological and sexological aspects of human sexual drive.
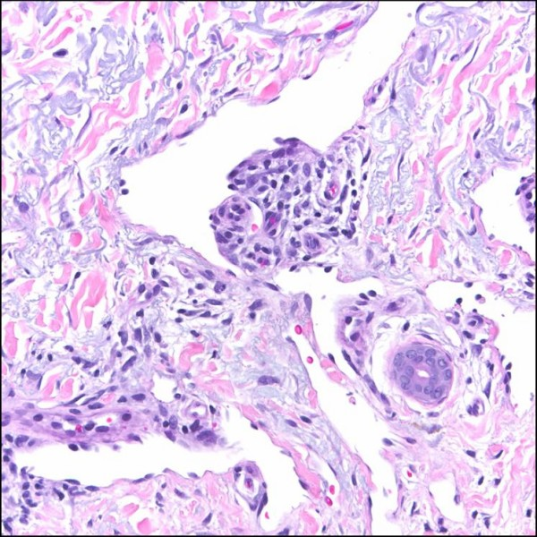
Figure C – in the slide we can see a lot of blood vessel. It’s brings me some kind of oncological disturbance (if there is more blood vessel it is easier to have metastasis). Additionally, if we see this pathology in macroscopic image then we should notice small red or blue freckle which can evolve to tubercle. This kind of image arise in case of immunodeficiency, where HHV-8 infection shows up as Kaposi sarcoma. License: CC BY 2.0
Pre-exposure prophylaxis (PrEP)
PrEP is method based on taking antiretroviral medicaments by noninfected person before exposure on HIV. PrEP is the answer to the still existing threat of HIV. This method is recommended by WHO as one of most effective way to preventing infection.
In PrEP, person takes one tablet containing tenofovir (TDF) and emtricitabine (FTC) every single day, always on the same hour. The consequence of regular use of this medicament is decreased risk of getting a HIV by 86-95%. Of course, we should still use condom if we want to protect ourselves from other STD, PrEP cannot help us in this manner.
Medical indication for use of PrEP:
- Sexual contact with person who have an unknown serological status.
- Sexual contact with seropositive person.
- Sexual contact with person who use intravenous drags.
We have two most common ways to administrate PrEP. First is based on taking one pill per day continuously as long as we are exposed on infection e.g. HIV-positive partner. Second way is based on taking two pills up to 2-24 hours before sexual contact and one pill after 24 hours and the last pill after 48 hours after the first dose. This second way is very important, especially when there’s a possibility that we will make anal sex as a recipient. This is because prophylactic TDF concentration in rectum occurs after one day. In opposite to vagina where it takes up to 3-7 days. Additionally, TDF concentration is 100 % bigger in rectum then in vagina (Boroń - Kaczmarska A., Wiercińska – Drapało A., 2017).
There is one threat connected with PrEP. When HIV-positive person takes PrEP. It is dangerous because it can lead to drug resistance. Therefore, it is important to do tests for anti-HIV antibodies and p-24 antigen and to exclude the early retroviral disease.
It is possibility to use antiretroviral meds in case of postexposure prophylaxis. It is important to include medicaments up to 48 hours after exposure (Rymer W., et al., 2016)6.
References:
1 Ankiersztejn-Bartczak M., 2012
2 HIV.gov
3 Olczak A., Grąbczewska E., 2012
4 Alemagno A. S., et al., 1998
5 Patel P., et al., 2014
6 Rymer W., et al., 2016
This post has been voted on by the SteemSTEM curation team and voting trail in collaboration with @utopian-io and @curie.
If you appreciate the work we are doing then consider voting all three projects for witness by selecting stem.witness, utopian-io and curie!
For additional information please join us on the SteemSTEM discord and to get to know the rest of the community!
Congratulations @hitsug! You have completed the following achievement on the Steem blockchain and have been rewarded with new badge(s) :
Click here to view your Board of Honor
If you no longer want to receive notifications, reply to this comment with the word
STOPI definitely agree with the notion of preventing disease than to cure an infected one, it is a much effective policy but I think the most important thing that we have to emphasize regarding the battle of the human race against the HIV is that the infection is no longer death sentence. Before the discovery of antiretroviral therapy, people with HIV were expected to live for 10 years before AIDS and for those who are diagnosed with AIDS, they would have roughly 3 to 5 years before they died of infections. Now, with the advent of ART, the life expectancy of people with HIV are thought to be just the same with the general population. Some journals even emphasize that people with HIV are more likely to live past healthy people as they were aware of their medical condition and are more likely to lead a much healthier life.
Thanks for your comment. Naturally HIV is no longer death sentence but still this is a problem which significantly reduces the quality of life. People with HIV have to face a lot of misfortunes. Like discrimination, difficulties in finding a partner, procreation, sexual activity and more. Another, pathologies is discrimination against people with HIV by medical staff. There is a lot of work to be done in these aspects.
I give you tips. In the #steemstem tag, all sources of used materials and images should be given, including attribution. This is the only way you can get a vote from Steemstem. Try to regularly publish there, it may reward you. Good luck :)
Congratulations @hitsug! You have completed the following achievement on the Steem blockchain and have been rewarded with new badge(s) :
Click here to view your Board of Honor
If you no longer want to receive notifications, reply to this comment with the word
STOPHi @hitsug!
Your post was upvoted by Utopian.io in cooperation with @steemstem - supporting knowledge, innovation and technological advancement on the Steem Blockchain.
Contribute to Open Source with utopian.io
Learn how to contribute on our website and join the new open source economy.
Want to chat? Join the Utopian Community on Discord https://discord.gg/h52nFrV
I had never thought PrEPs were a common solution to minimizing the risk of HIV transmission, but it makes sense.
Unfortunately, PrEP is not widely known. Especially in Poland, where awareness about STD prevention is very poor. However, I want to change it by education and proper treatment.
I'm voting for you here because it's too late to upvote your post. I think this is brilliantly written. You address the problem in clear terms and offer solutions that are practical. You explain how these solutions might be used in different situations. This is the kind of blog that people can use to help themselves. I do think one of the issues that has arisen with HIV is that because treatment is available, many young are indifferent to the consequences of becoming HIV positive. That is a major mistake, for them and for society as a whole. Cutting down the rate of infection is the right choice for everyone.