Nowa (stara) plaga

in #polish8 years ago (edited)
Dziewięciomiesięczny pacjent przywieziony przez matkę do POZ. Z objawami nieżytu nosa gardła i krtani, czemu towarzyszył szczekający kaszel i gorączka (>39 st. C). Dodatkowo z relacji rodzica wynika, że od paru dni dziecko jest jakieś „inne”. Lekarz POZ po zbadaniu pacjenta zdecydował się o włączeniu antybiotyku i ibuprofenu. Matka zastosowała zalecenia, ale po dwóch dniach gorączka osiągnęła 40 st. C, co skłoniło kobietę do natychmiastowej wizyty w SOR. Lekarz Oddziału Ratunkowego po wysłuchaniu historii choroby dziecka zbadał je. Odkrył na śluzówce policzków białe wykwity z czerwoną obwódką zapalną - plamki Koplika – Fiłatowa. Od tego momentu hipoteza diagnostyczna – to odra, stało się bardzo prawdopodobne. Pewność przyszła wraz ze zstępującą wysypką i wynikami badań laboratoryjnych.


image.png

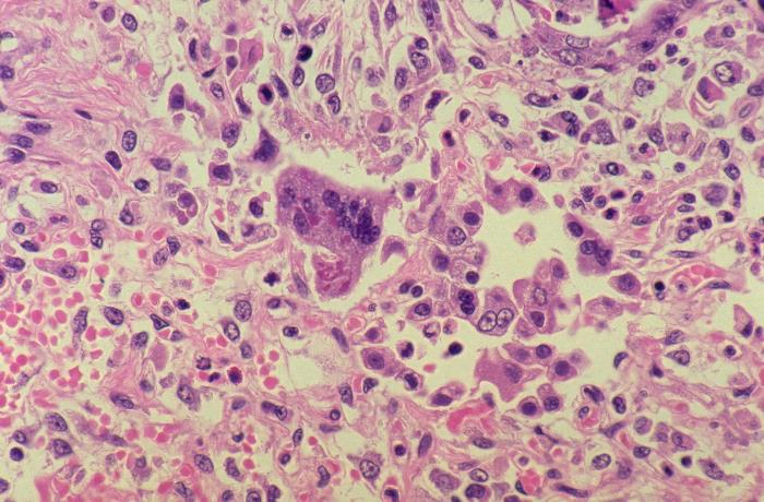
Ryc. A – badanie histopatologiczne tkanki płuca, na którym w części centralnej zostały uwidocznione komórki olbrzymie. Tkanka płuc dodatkowo infiltrowana jest przez liczne komórki układu immunologicznego (małe fioletowe komórki). Dodatkowo widać w polu widzenia sporą ilość erytrocytów, co sugeruje przekrwienie tkanki płuc. Całość obrazu odpowiada niebakteryjnemu zapaleniu płuc, a komórki olbrzymie sugerują, że winowajcą jest Morbillivirus.

Epidemiologia

Choroba przenosi się drogą kropelkową od osoby chorej. Niestety zakaźność pacjenta sięga 5 dni przed pojawieniem się wysypki i do 3 dni od jej pojawienia. Daje to 8 dni, w ciągu których każdy z otoczenia może zostać zarażony wirusem. Oczywiście zachoruje osoba, która nie była szczepiona lub nie przebyła odry. Dodatkowym czynnikiem sprzyjającym infekcji może być brak immunokompetencji np. spowodowany infekcją HIV.

Przed szczepieniami

Przed rokiem 1975 w Polsce nie było powszechnego obowiązku szczepień. Między 1965 – 1974 rejestrowano w latach nieepidemicznych 70 000 do 130 000 przypadków odry. Natomiast w przypadku epidemii, które zdarzały się średnio co 2 – 3 lata zachorowania osiągały pułap 200 000. W efekcie każdej epidemii umierało 200 – 300 dzieci, a tysiące borykały się z powikłaniami.


zachorowania a szczepienia.jpg

Ryc. B

Wraz ze wzrostem stopnia wyszczepialności populacji osiągano redukcje dramatycznej statystki. W 1988 roku osiągnęliśmy bezpieczny pułap 95% zaszczepionych osób, a w 1990 roku odnotowano ostatni poważniejszy wzrost zachorowań.

W latach 90 oraz na początku XXI wieku wyszczepialność na odrę osiągnęła 98%. Niestety aktualnie obserwuje się trend spadkowy - 96% zaszczepionych w 2016 roku. W tym samym roku w Polsce zarejestrowano 133 przypadki odry. Aktualnie przypadki odry związane są z ludnością napływową, która nie miała zagwarantowanej opieki medycznej na optymalnym poziomie (Ukraina, Romowie) link.

W Europie Zachodniej jest troszkę inaczej, gdyż tam doszło do wzrostu zachorowań w następstwie nieuzasadnionego powstrzymania się przed szczepieniem dzieci. Efekt takiego postępowania uwidocznił się w 2013 roku, gdzie 7099 osób musiały walczyć z chorobą, która powinna być znana tylko z podręczników.

Etiopatogeneza

Odrę wywołuje wirus Morbillivirus z rodzony Paramyksowirusów, który dostaje się do organizmu drogą kropelkową. Cząsteczki wirusa osiadają na nabłonku dróg oddechowych, do których wnikają i namnażają się. Wirus po uwolnieniu dostaje się do krwi, a wraz z nią do układu siateczkowato – śródnabłonkowego, gdzie ponownie się namnaża. Stąd po kolejnym namnożeniu dokonuje inwazji skóry, spojówek, dróg oddechowych, śluzówek. Skutkiem tej ekspansji jest pojawienie się objawów choroby. Szczególną uwagę należy zwrócić na błonę śluzową jamy ustnej, gdzie mogą znajdować się białe plam z czerwoną obwódką – plamy Koplika – Fiłatowa, co jest efektem połączenia martwicy z wysiękiem surowiczym oraz infiltracji limfocytów. Podobny proces patologiczny jest odpowiedzialny za wysypkę, nieżyt i zapalenie spojówek. Różnice polegają na zlokalizowaniu procesu w okolicach naczyń oraz dodaniu proliferacji śródbłonka (Kawalec W., et al., 2013).


Koplik_spots,_measles_6111_lores.jpg

Ryc. C – na błonie śluzowej policzka, na wysokości zębów trzonowych (nomen omen też niezdrowych) widać czerwone plamki. Po dokładniejszym obejrzeniu w centrum czerwonej plamki można dostrzec jaśniejsze przebarwienie – żargonowo można to określić jako ziarenko soli. Takie plamki określane są mianem plamek Koplika – Fiłatowa, a ich obecność jest patognomoniczna dla odry.

Dalsze losy pacjenta

Po wdrożeniu leczenia objawowego i zmniejszenia ekspozycji na światło objawy infekcji ustąpiły w ciągu 4 dni od przyjęcia do szpitala. Dziecko zostało wypisane do domu w stanie ogólnym dobrym.

Jednakże w wieku 6 lat chłopiec zaczął pogarszać się neurologicznie. Bywały dni lepsze i gorsze. Początkowo pacjent nie nadążał w nauce nowych rzeczy za swoimi rówieśnikami. Później tracił umiejętności, które nabywał wcześniej. Rodzice z początku myśleli, że to przez częste infekcje, które przechodzi – nie bywa w przedszkolu, więc nie jest „na bieżąco”. Niestety napad padaczkowy uświadomił, że sprawę nie można bagatelizować. Opis wykonanego EEG zawierał stwierdzenie wyładowania okresowe typu Radermeckera. Dla pewności wykonano TK, a w nim ujawniono zanik mózgu. Zlecono badania immunologiczne z surowicy krwi i płynu mózgowo-rdzeniowego, a w nich udowodniono obecność przeciwciał przeciwodrowych.

SSPE

Podostre stwardniające zapalenie mózgu (subacute sclerosing panencephalitis, SSPE) degraduje zdolności poznawcze i życie pacjenta. Jest to odległe powikłanie odry. Zdarza się 1:100 000 przypadków, a średnio objawy SSPE pojawiają się średnio 5-7 lat po zachorowaniu. Typowo częściej dotyczą chłopców, którzy cierpieli na odrę wcześniej niż 2 rok życia (Garg R. K., 2002)1.

Odra i SSPE nie jest wywoływana przez identyczne wirusy. Czynnik patogenny dla SSPE nie posiada białka M, który występuje w wirusie odry. Prawdopodobnie utrata tego biała jest ewolucyjną adaptacją wirusa do przeżycia w ciele gospodarza, którzy kieruje skuteczną odpowiedź immunologiczną przeciwko niezmutowanemu wirusowi odry.

Rokowanie w SSPE jest bardzo złe. Do zgonu w 40% przypadków dochodzi w ciągu roku od rozpoznania. W materiale autopsyjnym uwidacznia się naciek zapalny i ogniska martwicy w obrębie płatów skroniowych, ciemieniowych i potylicznych.

Podsumowanie

Do niedawna panowało przekonanie, że odra jest reliktem przeszłości. Niestety w wyniku świadomych zaniechań w dziedzinie szczepień doszło do powrotu zagrożenia. Egzemplifikacją moich słów jest sytuacja w czeskiej Pradze, gdzie do gotowości zostało postawione wojsko. Armia ma nie tylko na celu zastąpienie cywilnych medyków poddanych kwarantannie, ale także by mogło w razie dalszego wzrostu zachorowań, szybko utworzyć kordon sanitarny. Przykład Czech jest dość nośny ze względu na bliskość od naszego kraju. Jednakże o wiele większe problemy (w skali roku) są we Włoszech i Rumunii, gdzie w ciągu ostatnich 12 miesięcy zanotowano 64% wszystkich europejskich przypadków odry mapa odry.

Odra w Polsce aktualnie nie jest zagrożeniem populacyjnym. Dodatkowo wciąż mamy dużą wyszczepialność. Niestety obserwuje się tendencje do popełniania tego samego błędu, co w Europie Zachodniej. Największe niebezpieczeństwo dotyczy dzieci od 6 do 13 miesiąca życia. Jest to okres przejściowy wyznaczony z jednej strony czasem utraty przeciwciał ochronnych pochodzących od matki, a z drugiej strony możliwością podania pierwszej dawki szczepionki MMR (odra, świnka, różyczka). W tym okresie dzieci chroni jedynie odporność zbiorowa, a co za tym idzie brak odry w otoczeniu (Czarkowski M.P., et al., 2016)2.

Sort:  

Dobry i moim zdaniem bardzo potrzebny tekst. Ludzie nie zdają sobie sprawy jak poważne konsekwencje może mieć przebycie odry.

Bardzo dobrze, że o tym informujesz, mam nadzieję, że dotrze to przede wszystkim do zatwardziałych antyszczepionkowców. Chcą uchronić dziecko przed autyzmem (nie potwierdzonym naukowo) a narażają je na powikłania po odrze.

Warto też powiedzieć, w związku z sytuacją w Czechach, że antyszczepionkowcy się cieszą, bo przecież w Czechach jest obowiązek szczepień, a mimo tego jest epidemia, czyli według nich szczepionki nie działają...

Żadne szczepienie nie gwarantuje w 100%, że się nie zachoruje. Jednak po zaszczepieniu przebieg ewentualnej choroby jest dużo łagodniejszy, a ryzyko powikłań znacznie mniejsze.

Pozdrawiam, upvote, resteem :)

W Czechach jest obowiązek szczepień, ale wyszczepialność spadła do 90%. Nie pozwala to na pełną ochronę populacji. To Czech odra została prawdopodobnie przywleczona z Ukrainy, gdzie jest spora degradacja opieki medycznej.

Szczepienia nie gwarantują 100% skuteczności ochrony przed zachorowaniem. Zawsze są jakieś czynniki losowe, które mogą osłabić jej działanie. Tylko jeżeli zdecydowana większość populacji jest zaszczepiona to możliwość spotkania patogenu staje się mała. To podstawa ochrony zbiorowej. I w sumie bardzo piękna idea.

No właśnie, czyli wychodzi na to, że wzrost liczby antyszczepionkowców przyczynił się do epidemii, a nie jak sami twierdzą brak skuteczności szczepionek ;)

dlaczego MMR (odra, świnka, różyczka) a nie szczepionka na sama odre?
skoro statystyki powiklan po tej szczepionce sa jeszcze bardziej przestraszajace

Świnka i różyczka również wywołują groźne dla zycia powikłania, zarówno u dzieci jak i u dorosłych. Lepiej podać jedną szczepionkę i raz przebyć ewentualny odczyn poszczepienny (normalna reakcja immunologiczna organizmu na kontakt z wirusem) niż kłuć dziecko 3 razy i przechodzić 3 razy przez ewentualny odczyn poszczepienny.

Co masz dokładniej na myśli pisząc, że powikłania po MMR są bardziej przerażające od tych poszczególnych chorób? :>

Przerażająca to jest głupota, a powikłania są "przestraszające" - antyszczepionkowiec na samo wspomnienie szczepionki doznaje "przestraszenia" na poziomie komórkowym 😛 Szare komórki mu się przestraszają i flogiston ucieka uszami 😂

Hitsug - nie patrz co pisza na papierze a podnies glowe i zobacz co dzieje sie wokolo realne przyklady a nie tekst na papierze ma znaczenie

No tak warto mieć kontakt z rzeczywistością i ją obserwować szukając przyczyn i skutków określonych zdarzeń. To podstawa do znajdowania nowych zagrożeń i przeciwdziałania im. Więc jeżeli masz jakiś konkretny przykład to zdecydowanie warto się nad nim pochylić :)

posluchaj tego a w 3:35 minucie Gates mowi - jezeli naprawde zrobimy dobra robote ze szczepionkami itd itd to uda nam sie zredukowac ilosc ludzi na ziemi


chyba niechcacy to powiedzial spontanicznie
zobacz jak np Indie maja proces przeciwko Gates fundation za to ze szczepionkami wysterelizowala im pol wioski - niby taki maly skutek uboczny
jest tego naprawde wiecej
ale oczywiscie mozemy czytac karteczke producenta i wierzyc w to co napisal producent haha

Przestraszające to są faktycznie - takiego nawału głupoty jaką prezentują antyszczepionkowcy to można się przestraszyć 😂

ciekawe czy zmieni ci sie zdanie jak ciebie bedzie dotyczylo to "przestraszajace" powiklanie - np bezdech u dziecka w nocy jak spi i obudzisz sie a dziecko bedzie martwe ....
czyja glupota to bedzie ?

Sorry, bardzo wzruszający argument tylko że to są jakieś brednie, które konsekwetnie powielasz. Pomijam takie szczegóły jak to, że mam dorosłe dzieci, szczepione na wszystko co było tylko możliwe bez żadnych istotnych powikłań. Powikłania oczywiście występują, jak przy każdym leku, ale statystycznie to margines. Prędzej zejdziesz po paracetamolu niż po szczepieniu i takie są fakty. A antyszczepionkowcy zachowują się jak sekta która bezkrytycznie wierzy w brednie kolportowane w internecie. Zastanów się ilu znasz osobiście (nie z internetowych rewelacji) ludzi u których wystąpiły istotne i znaczące powikłąnia które niewątpliwie były efektem szczepień? Obstawiam, że zero.