Gruczoł krokowy kryje w sobie wiele tajemnic. Jest miejscem produkcji istotnych dla plemników składników, a także kolebką gruczolakoraków. Pod względem zachorowalności raki prostaty zajmują pierwsze miejsce w populacji męskiej. Natomiast pod względem umieralności trzecie. Nie jest to korzystna statystyka, choć i tak wygląda lepiej niż w przypadku raka płuc. Mówią o tym nagie liczby dotyczące zachorowania na raka prostaty – 15 961 oraz umieralności – 5 220. Spójrzmy na liczbę raków płuc – 14 466, umieralność 16 177 (Wojciechowska U., et al., 2018)1. Widzicie dyskretną różnicę?

Ryc. A - procentowy udział poszczególnych nowotworów zarówno pod względem zachorowań jak i zgonów.
Z przedstawionych wyżej danych można wyciągnąć wniosek, że gruczolakoraków prostaty jest stosunkowo dużo, ale mało z nich okazuje się być śmiertelnym zagrożeniem dla chorego. Taka statystyka bezpośrednio pokrywa się z ustaleniami patomorfologów, którzy bardzo często znajdują nowotwór prostaty u osoby zmarłej z całkowicie innej przyczyny. Powstaje całkowicie uzasadnione pytanie – który rak ma zostać usunięty?
Aktualnie bardzo trudno odpowiedzieć na taką wątpliwość precyzyjnie. Niestety nie wiemy, który rak będzie śmiertelnym zagrożeniem, dlatego wycina się większość. Szacuje się, że należy wyciąć 29 prostat (z rakiem) by uniknąć 1 bardzo groźnego nowotworu. Jednakże nauka nie pozostaje bierna, wobec tego problemu. Szukamy specyficznych przeciwciał, które oznaczałyby wzrost ryzyka progresji. Dokładniej to materiał tkankowy można wybarwić tak, aby uwidocznić Interleukinę 23. Cząsteczki te są produkowane przez mieloidalne komórki supresorowe. IL-23 łączy się z receptorem dla androgenów na powierzchni komórki gruczołowej w prostacie, co powoduje wzrost przeżycia komórek oraz zwiększa się indeks proliferacji. Dalszy progres związany jest z mutacjami w obrębie genów MYC, TP53 oraz BRCA2. Takie zjawiska są częstsze u pacjentów z rozsianym gruczolakorakiem opornym na kastracje (Quigley D., et al., 2018)2. Możliwość zaklasyfikowania pacjenta do grupy „może czekać” lub „należy interweniować” poprawiłoby komfort życia chorych.
Diagnostyka
Jednak zanim dojdzie w ogóle do zabiegu czy pobrania wycinków to trzeba jakoś „wyłowić” pacjentów. Objawy raka gruczołu krokowego są zmienne i zależą od lokalizacji, w której się rozwija. Jeżeli jest zlokalizowany w strefie obwodowej to może być bezobjawowy. Jak punktem wyjścia jest strefa centralna gruczołu to pojawią się objawy dysuryczne. W przypadku rozwoju choroby dołączają się bóle w miednicy, zaburzenia wypróżnień, czy obrzęki kończyn dolnych i genitaliów. Natomiast, gdy już będą przeżuty to na pierwszy plan wysuną się bóle kostne.
Wiemy jakie są objawy raka prostaty. Takie objawy nie są specyficzne i mogą odpowiadać również innym procesom chorobowym jak np. zapalenie gruczołu krokowego (ból w miednicy, dysuria), co może być konsekwencją nieleczonego STD. Dlatego też należy przeprowadzić kolejne badanie. Najłatwiej jest wykonać badanie per rectum, które umożliwi wykrycie guzowatej masy na przedniej ścianie odbytnicy. Zwłaszcza, że 95% raków lokalizuje się w części obwodowej gruczołu.
Obecność guzka jak i podwyższone PSA umożliwia przeprowadzenie kolejnego badania w postaci USG przezodbytniczego (TRUS). Jeżeli obecność patologii zostanie potwierdzona to należy przeprowadzić biopsję. Ze względu na specyfikę biologii gruczolakoraka nie należy poddawać się badaniu, którego celem jest pobranie pojedynczego fragmentu tkanki. Zdecydowanie lepsze szanse na postawienie wartościowego rozpoznania mamy wtedy, gdy tych wycinków będzie 12 (Andriole G., L., 2009)3.
Ryc. B - badanie per rectum; B – biopsja gruczołu krokowego, gdzie z dojścia przezodbytniczego pobiera się 12 wycinków do oceny histopatologicznej.
Podsumowując mamy pana, który zgłosił się z powodu problemów z oddawaniem moczu. Pobraliśmy mu co najmniej dwa razy krew. Zbadaliśmy per rectum, USG oraz zrobiliśmy dwanaście otworków w odbytnicy, przez które pobrano wycinki prostaty. Wynik histopatologiczny to Adenocarcinoma acinare prostatae (Gleason 4+4). Teraz powstaje pytanie, co zrobić dalej. Zoperować? Naświetlić? Podać hormony? Nic?
Ryc. C – 5 letnie przeżycia chorych w populacji meśkiej, z nowotworami zdiagnozowanymi w latach 2008-2010.
Każda z tych metod ma swoje zalety i wady. Operacja w postaci prostatektomii z zamiarem radykalnym z łatwością da wyleczenie w przypadkach, gdy rak zlokalizowany jest wyłącznie do gruczołu krokowego. Radioterapia poradzi sobie również z przypadkiem, gdy nowotwór wychodzi poza torebkę własną prostaty i nacieka na pęcherzyki nasienne. Hormonoterapia ma zastosowanie przy guzach naciekających inne struktury oraz w przypadku rozsiewu. Obserwacja czasami jest lepszym wyjściem niż bezrefleksyjne cięcie pacjenta. Możliwości jest wiele. Przeżycia są całkiem przyzwoite, chociaż nie są tak optymistyczne jak np. w raku jądra. Jednak raczej nikt nie chce dopuszczać do sytuacji, w której nowotwór wychodzi poza prostatę i zajmuje sąsiednie narządy. Zatem jakie są sposoby by uchwycić go dostatecznie szybko?
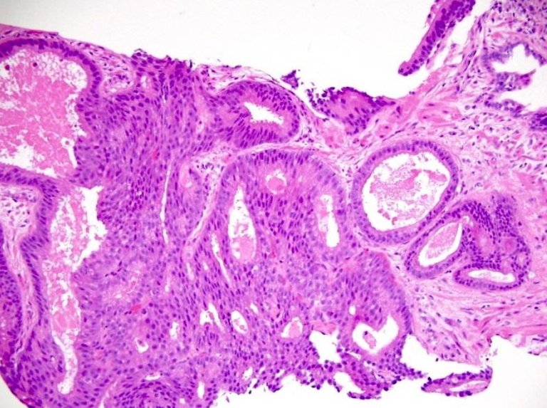
Ryc. D – prawidłowa struktura gruczołowa uległa zatraceniu, co doskonale widać. W miejsce kółeczek pojawiają się zwarte struktury, które nawet nie przypominają dawnej architektury tkanki.
Profilaktyka
Tradycyjnie do wykrywania wczesnego raka prostaty używa się Swoistego Antygenu Gruczołu krokowego (PSA). Jest to marker wytwarzany w komórkach gruczołowych prostaty i wydzielany do światła przewodów. Wartości powyżej 4 ng/mL w przedziale 4-10 korelują z 22% ryzykiem raka, natomiast powyżej 10 już z 66% ryzykiem. Niestety PSA jest swoiste dla gruczołu krokowego a nie dla raka gruczołu krokowego. Wbrew pozorom taka różnica jest istotna. Dzieje się tak ze względu na fakt, że PSA może być podwyższone po aktywności seksualnej, symulacji prostaty palcem czy biopsji. Zdecydowanie więcej informacji dostaniemy, jeżeli oprócz PSA oznaczy się odsetek wolnego PSA, który pozwoli na dokładniejsze oszacowanie ryzyka raka.
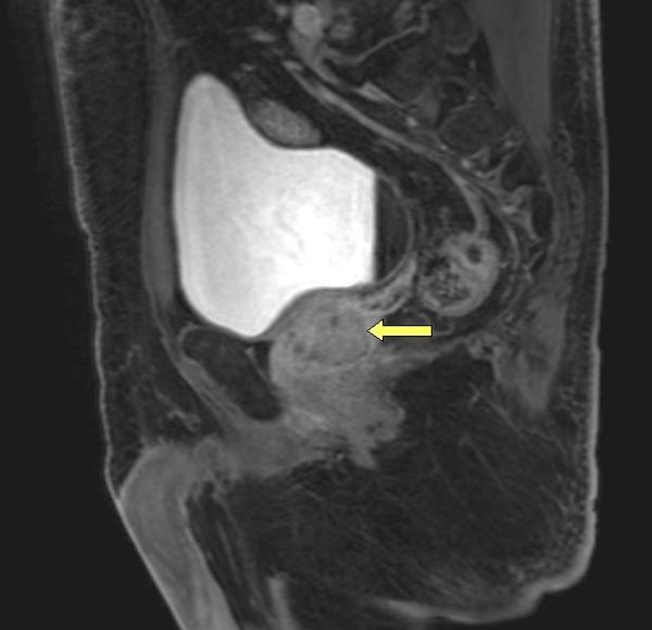
Ryc E - przekrój strzałkowy przez miednicę, gdzie widać pod pęcherzem moczowym gruczoł krokowy. Rozdzielczość MRI pozwala nawet na określenie rozrostu podścieliska, a kolejne opcje w aplikacji umożliwiają zdefiniowanie czy nie ma rozpadów komórek, co sugerowałoby obecność ogniska nowotworowego.
Zdecydowanie lepiej w wykrywaniu gruczolakoraków sprawdza się badanie metodą rezonansu magnetycznego. W przypadku RM nie ma potrzeby umieszczania przedmiotów w odbytnicy, tylko całe badanie odbywa się w bardziej komfortowych warunkach. Radiolog na uzyskanych obrazach nie tylko może zobaczyć zmiany ogniskowe w prostacie, które budzą niepokój, ale także, dzięki wykorzystaniu apletów w postaci spektroskopii może ustalić jaki jest skład błon komórkowych w tej patologicznej zmianie. Jeżeli wzbudza silne podejrzenia rozrostu nowotworowego to należy wykonać biopsję.
Wyżej wymienione metody należą do grupy profilaktyki wtórnej. Polega ona na wykryciu choroby na wczesnym etapie zaawansowania, aby zwiększyć szansę wieloletniego przeżycia. Taka strategia sprawdza się w przypadku raków piersi jak i raka płuc. Szkoda tylko, że mało kto decyduje się na wykonanie NDTK klatki piersiowej. Byłoby warto zwłaszcza po 20 paczkolatach.
Źródła
1 Wojciechowska U., et al., 2018
2 Quigley D., et al., 2018
3 Andriole G., L., 2009
!tipuvote hide
Nie zadziałał, spróbuję jeszcze raz.
Dziękuje za pozytywne wzmocnienie ^^
Ten tego... chyba trzeba się zbadać... :) Dzięki, jak zwykle znakomicie!
Twój post został podbity głosem @sp-group-up Kurator @julietlucy.
!tipuvote hide
Yes! :)
Morsowanie, CBD, Witamina C, Yerba Mate, zdrowa żywność, aktywność fizyczna na czystym powietrzu, to tylko kilka z sposobów na ominięcie raka. Rzekomo chemtrail + spożywanie napoi z aluminiowych puszek przyczynia się do rosnących statystyk zachorowań na raka. Słyszałem, nawet teorię o holokauście Polaków w związku z którym co drugi Polak ma umrzeć na raka. Ja nie dopuszczam takiej możliwości do swej podświadomości i mam nadzieję, że nie przyjdzie mi się z nim mierzyć. Wszystkiego dobrego dla Was wszystkich oby Was też nie dopadł.
Wspomniane przez Ciebie sposoby to zdrowy styl życia. No może prócz sytuacji, gdy nadużywa się CBD.
O przyczynach danych zjawisk można się spierać. Gromadzić dane i porównywać dowody. Tylko nie popadajmy w "szuryzm". Dużo gorzej jest w momencie, gdy w przestrzeni publicznej propaguje się nieskuteczne metody leczenia np. rak piersi - obkładanie kapustą. Opóźnienie za pomocą oszustwa skutecznego leczenia to duża zbrodnia.
Wszystko w nadmiarze szkodzi włącznie z wodą. Wiara czyni cuda i udowodniono to nie raz na efekcie placebo. Jeśli ktoś uwierzy, że okład z kapustą go leczy to jest to możliwe tyle, że uleczy go wiara nie kapusta. Słabo wierzę w uleczenie za pomocą naszej medycyny, jak dla mnie to tylko mafie farmaceutyczne, którym nie chodzi o wyleczenie a na leczeniu. Zażywa się lekarstwa które niwelują skutki a nie przyczyny, a przy okazji skutki uboczne z czasem doprowadzają do kolejnych chorób, które znowu trzeba regulować innymi lekami i tak koło się nakręca a klient zostawia co miesiąc coraz więcej pieniędzy. Bardzo za to wierzę, w niekonwencjonalne metody leczenia, akupunktury, akupresury, ziołolecznictwo, itp.
Każdy ma prawo do podejmowania decyzji o swoim ciele. Nawet jak niekoniecznie są mądre. Ważne tylko by osoba podejmująca decyzję była dobrze poinformowana o skutkach.
W ziołolecznictwie stosuje się często te same substancje co mają te "mafie farmaceutyczne". Tylko, że nie są oczyszczone i przyjemniej wyglądają niż tabletki. Pierwszym z brzegu przykładem jest kora wierzby, cykoria czy daktyle. Wszystkie zawieraja kwas acetylosalicylowy. Taki sam co jest w polopirynie.
Przykro mi, że coraz częściej spotyka się ludzi, którzy podzielają poglad, że medycyna ma "leczyć", ale nie wyleczyć. Zwlaszcza, że istnieje całkiem sporo jednostek chorobowych, gdzie za pomocą jednorazowych interwencji można pozbyć się problemów zdrowotnych.
Nie twierdzę, że cała medycyna jest zła bo zioła nie załatwią sprawy przeszczepu serca itp. Ale już lądowanie antybiotyku na wszystko bez rozpoznania jednostki chorobowej oraz szczepionki szczególnie te z przymusu mnie nie przekonuje.